Александра Жахонгировна Шерметова
Стоматолог-ортодонт
Знакомство с доктором
Стаж с 2018 года.
Тщательно выстраивает этапы лечения, опираясь на принцип стратегического планирования. Каждый шаг является результатом глубокой аналитики, научного подхода и скрупулёзной диагностики.
Доктор Шерметова придерживается философии, которая напоминает стратегическую игру в шахматы: каждый этап лечения продумывается заранее с учётом всех возможных сценариев и последствий.
Её подход основывается на комплексном анализе не только текущих проблем, но и на учёте возможных долгосрочных эффектов, чтобы просчитать и выстроить план лечения на несколько ходов вперёд с учётом будущих изменений в зубочелюстной системе пациента.
Тщательно выстраивает этапы лечения, опираясь на принцип стратегического планирования. Каждый шаг является результатом глубокой аналитики, научного подхода и скрупулёзной диагностики.
Доктор Шерметова придерживается философии, которая напоминает стратегическую игру в шахматы: каждый этап лечения продумывается заранее с учётом всех возможных сценариев и последствий.
Её подход основывается на комплексном анализе не только текущих проблем, но и на учёте возможных долгосрочных эффектов, чтобы просчитать и выстроить план лечения на несколько ходов вперёд с учётом будущих изменений в зубочелюстной системе пациента.
«В моей работе каждый шаг продуман, как в шахматах - с чётким планом и стратегией на будущее»
Такой подход позволяет решить текущие задачи и предотвратить возможные осложнения.
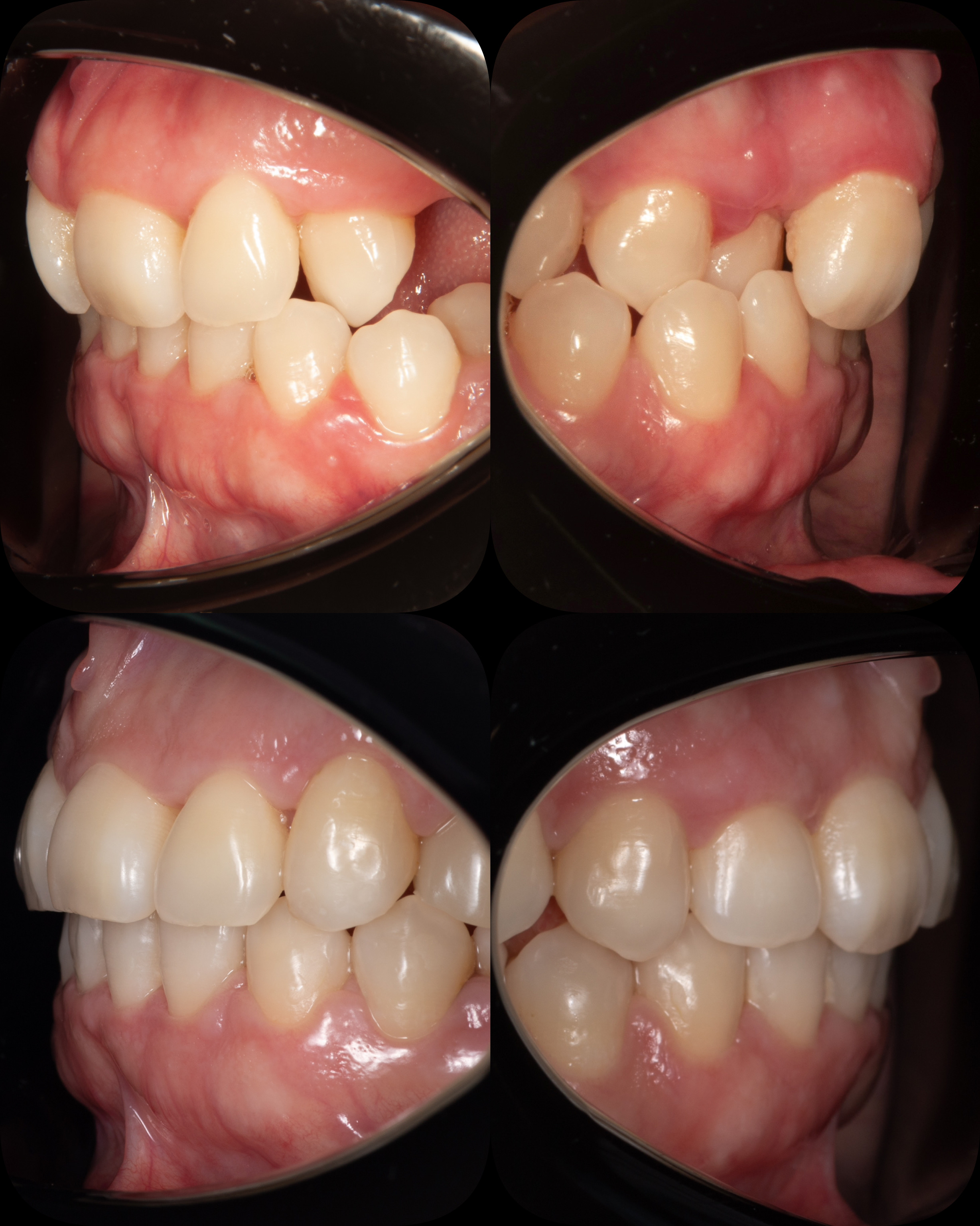
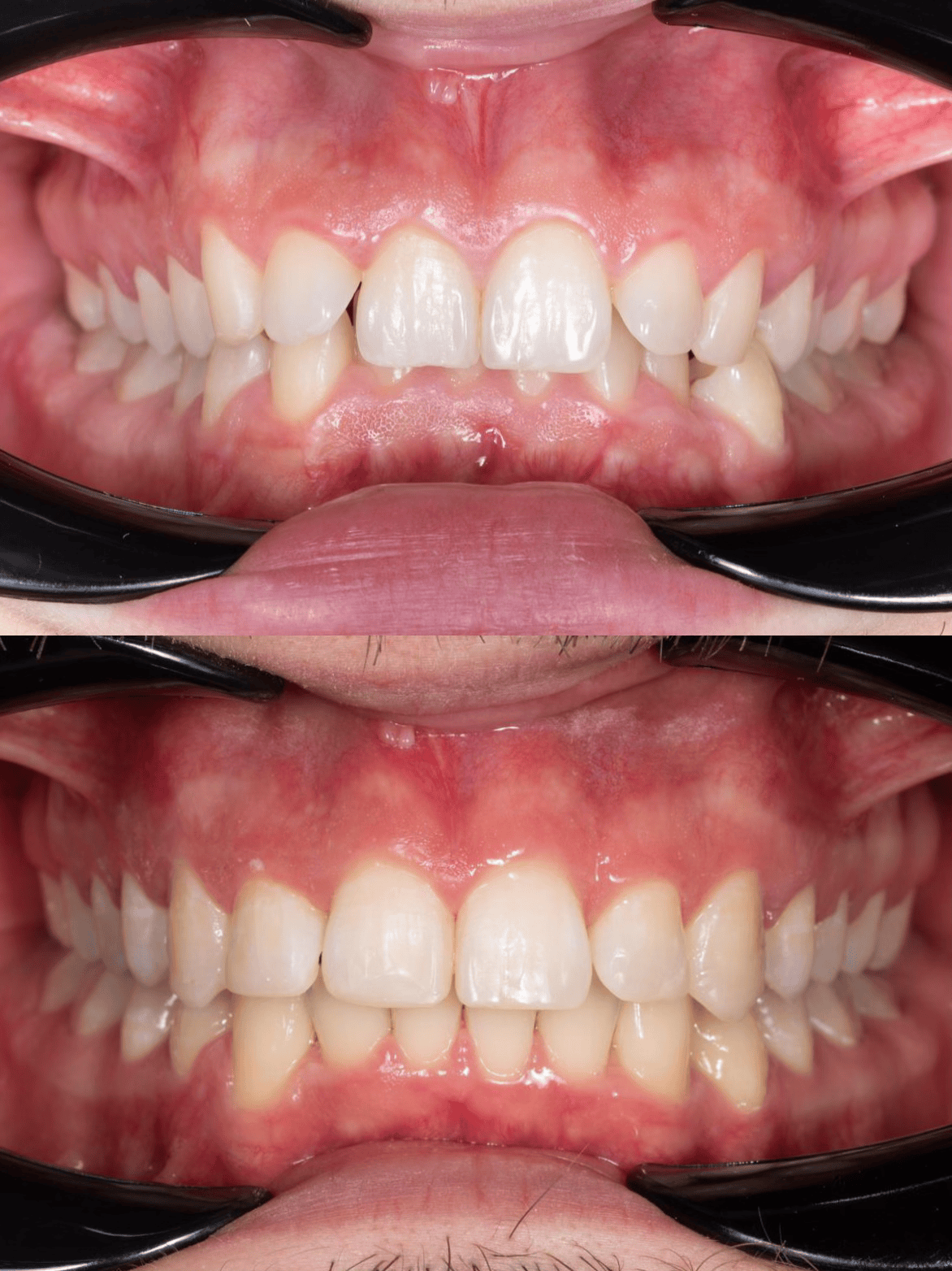
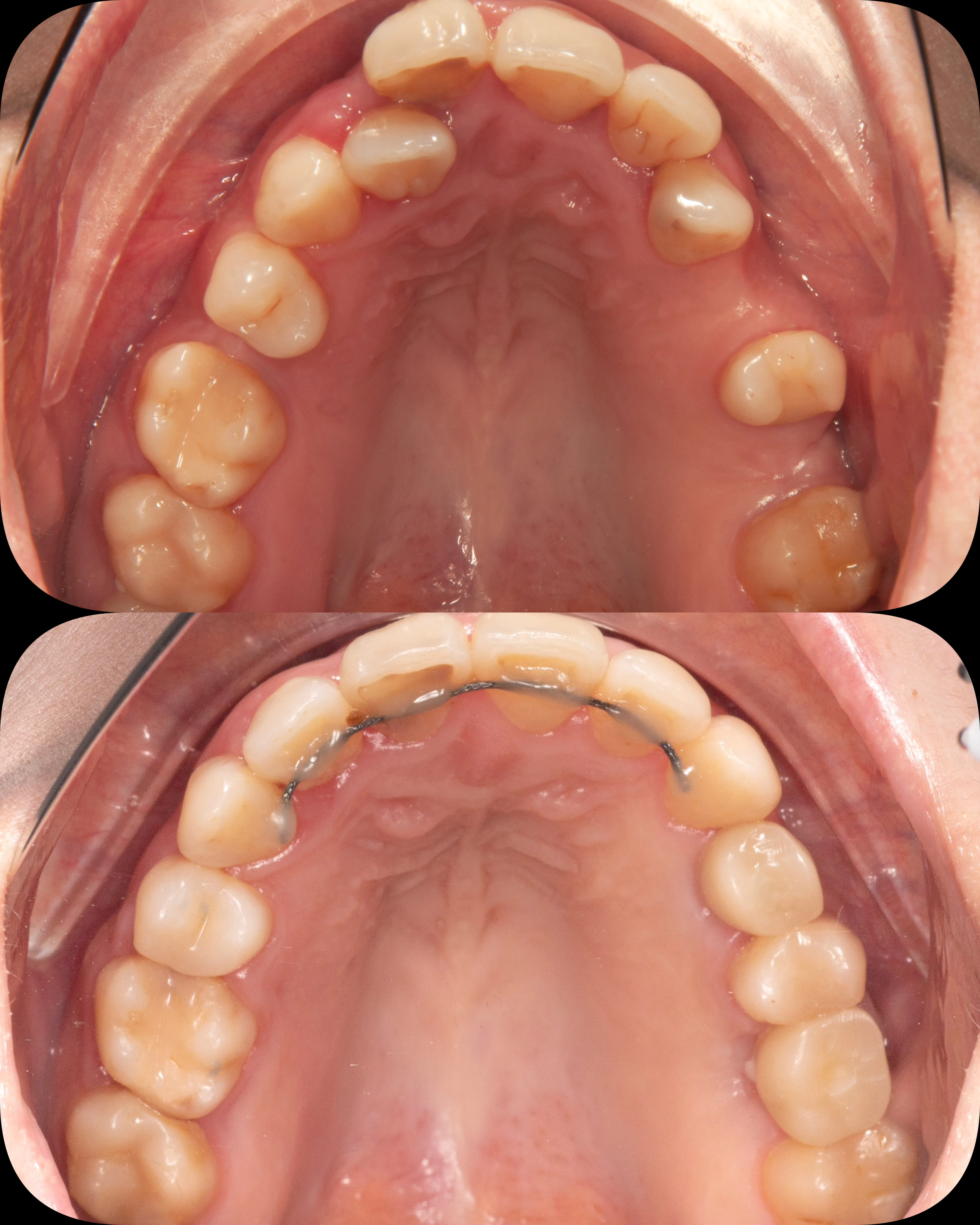
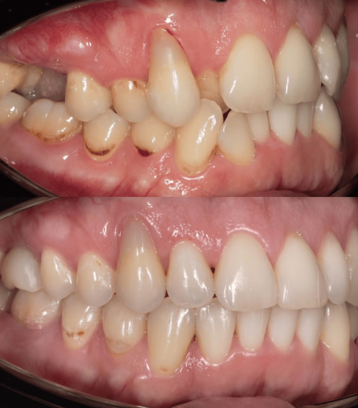
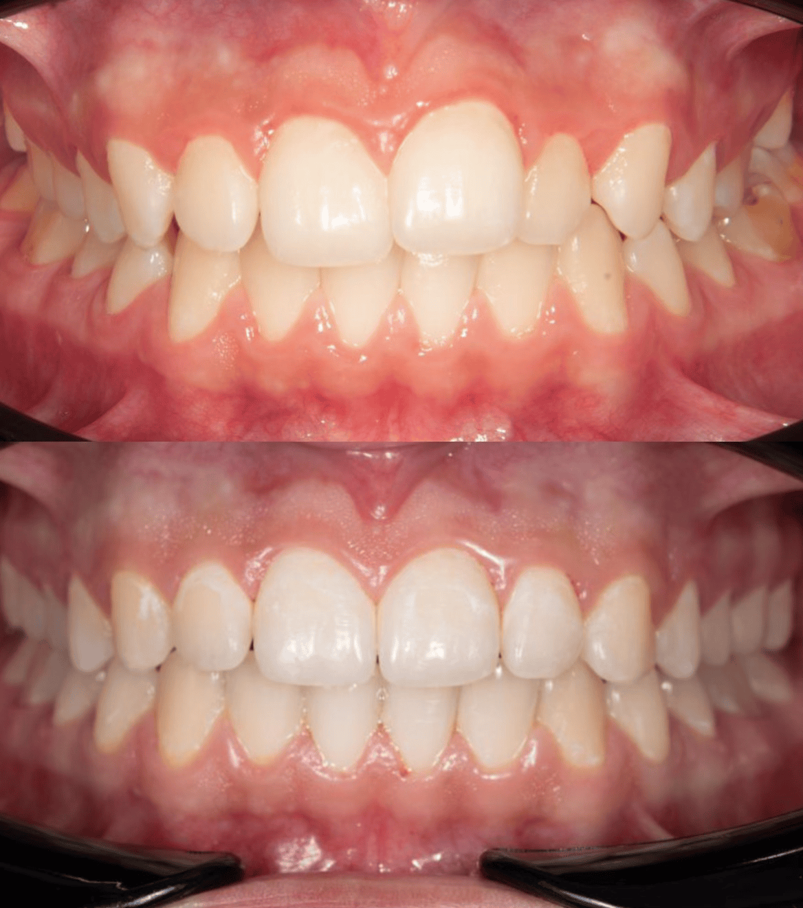
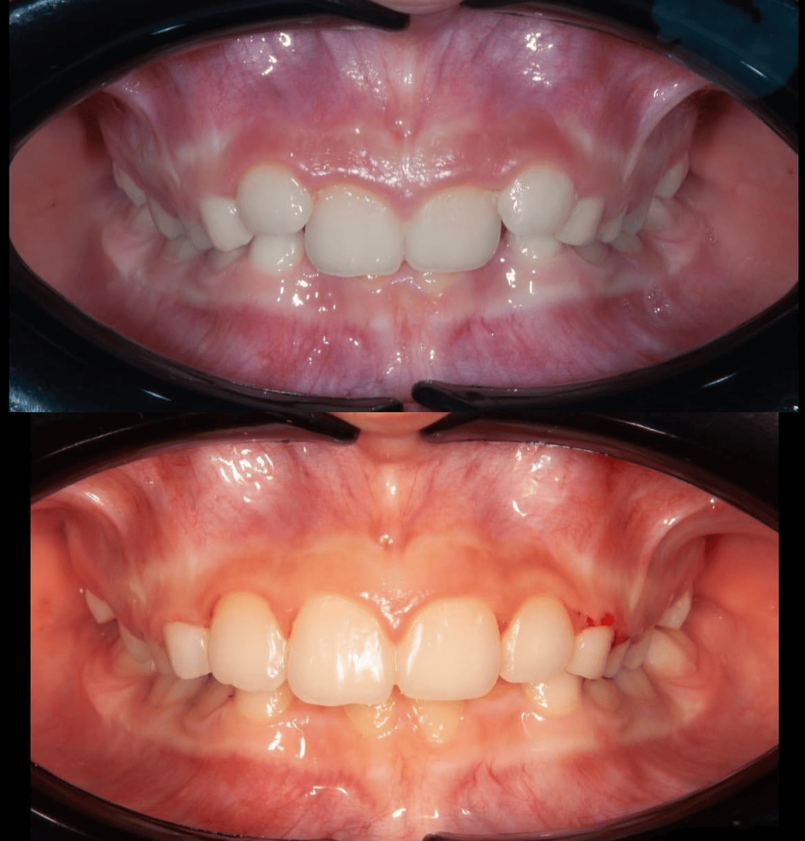
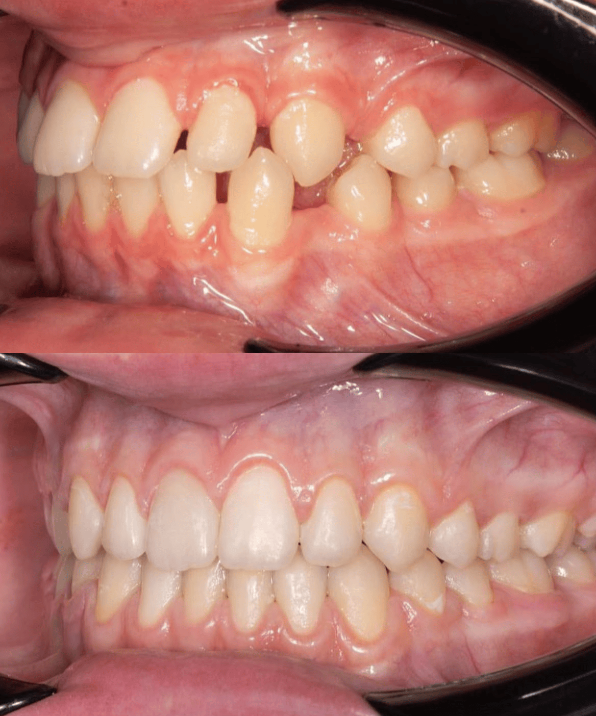
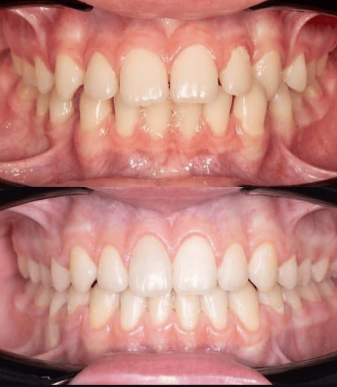
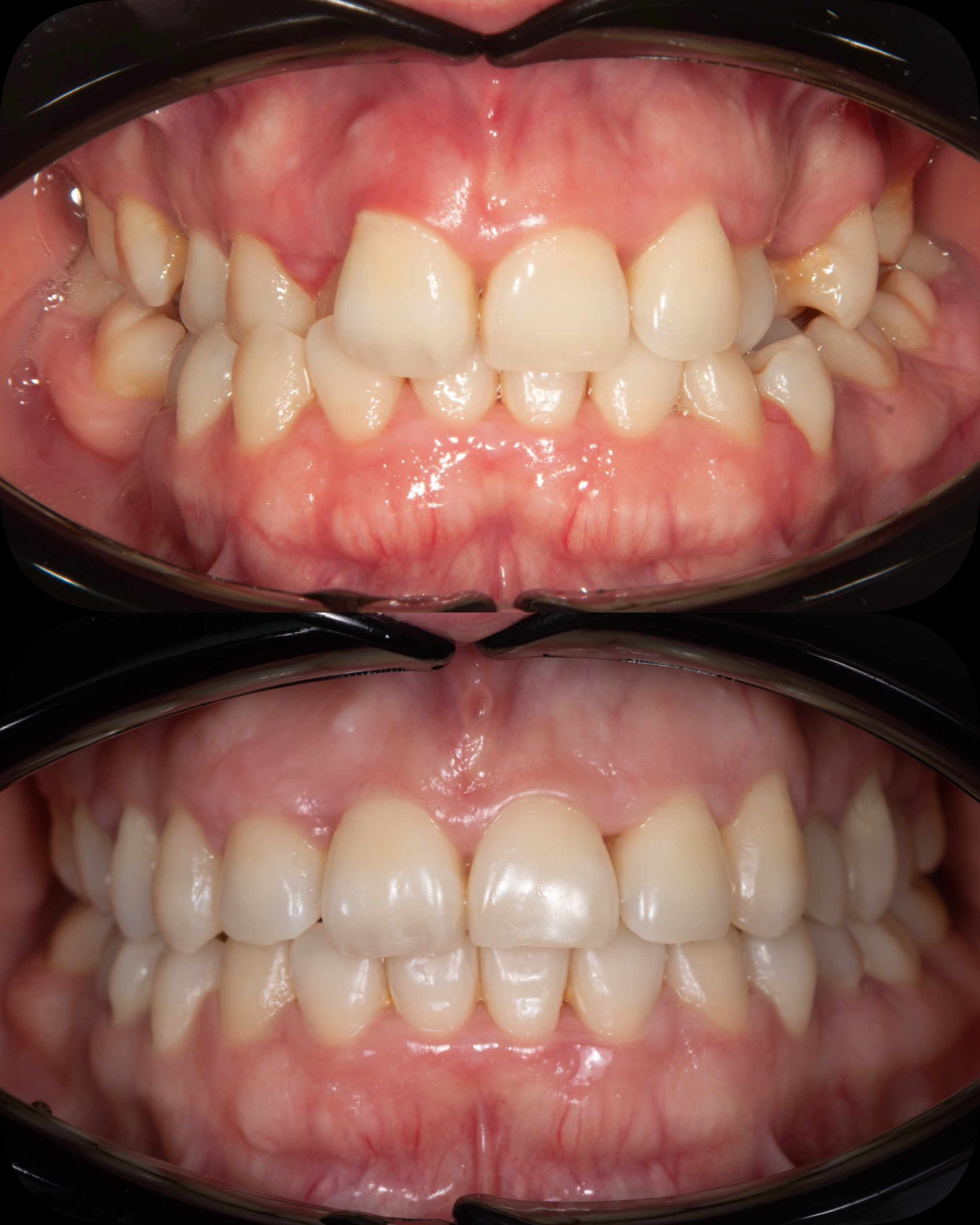
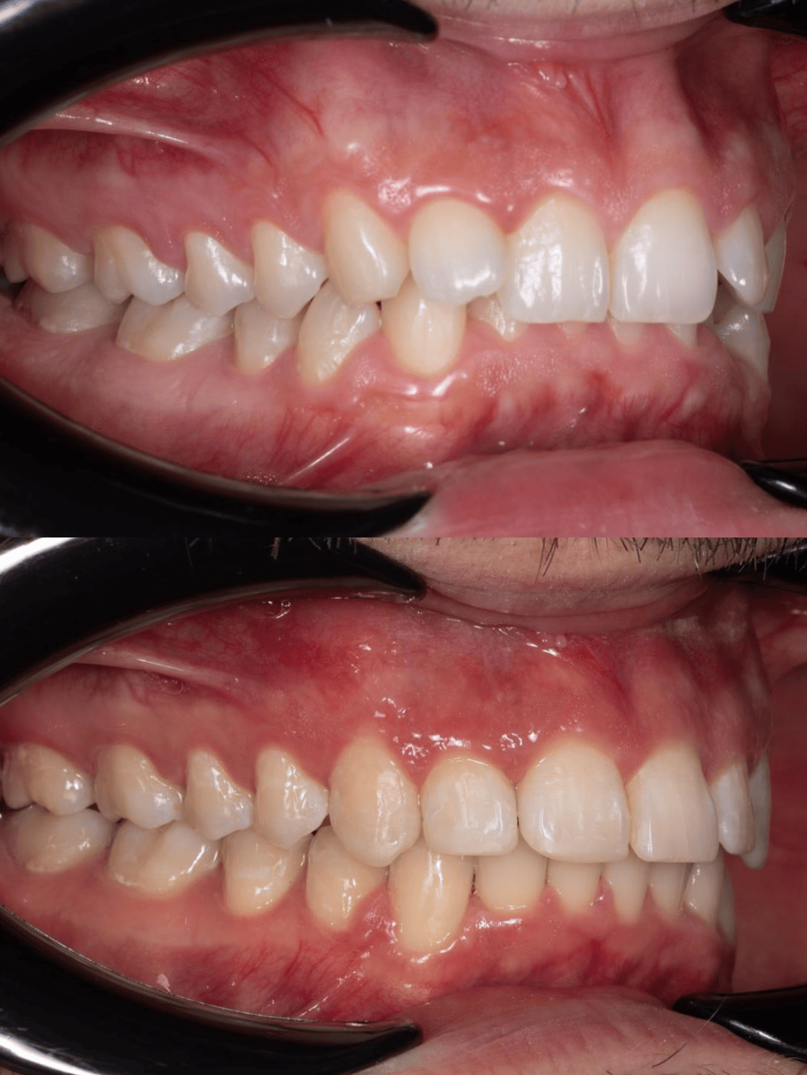
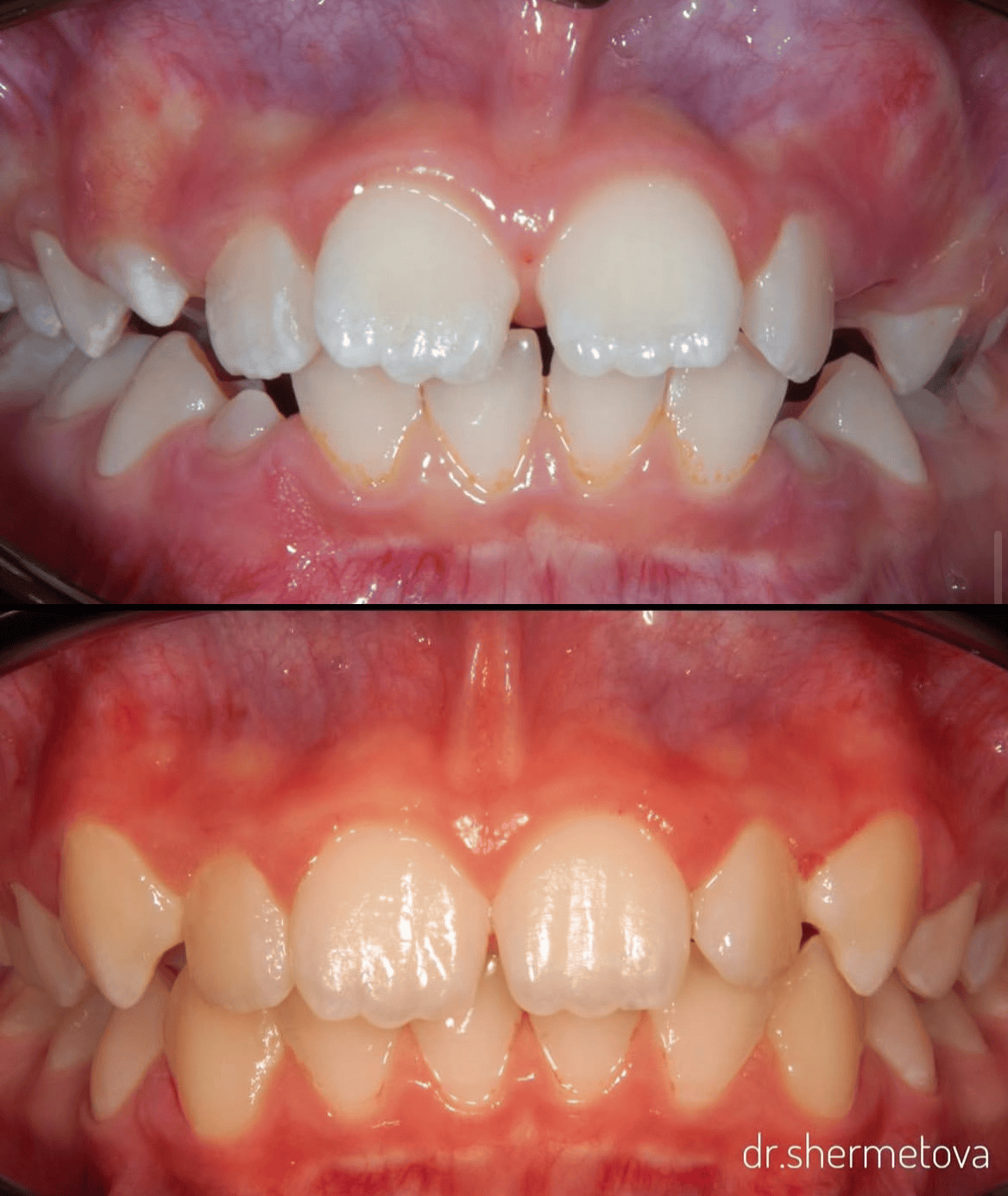
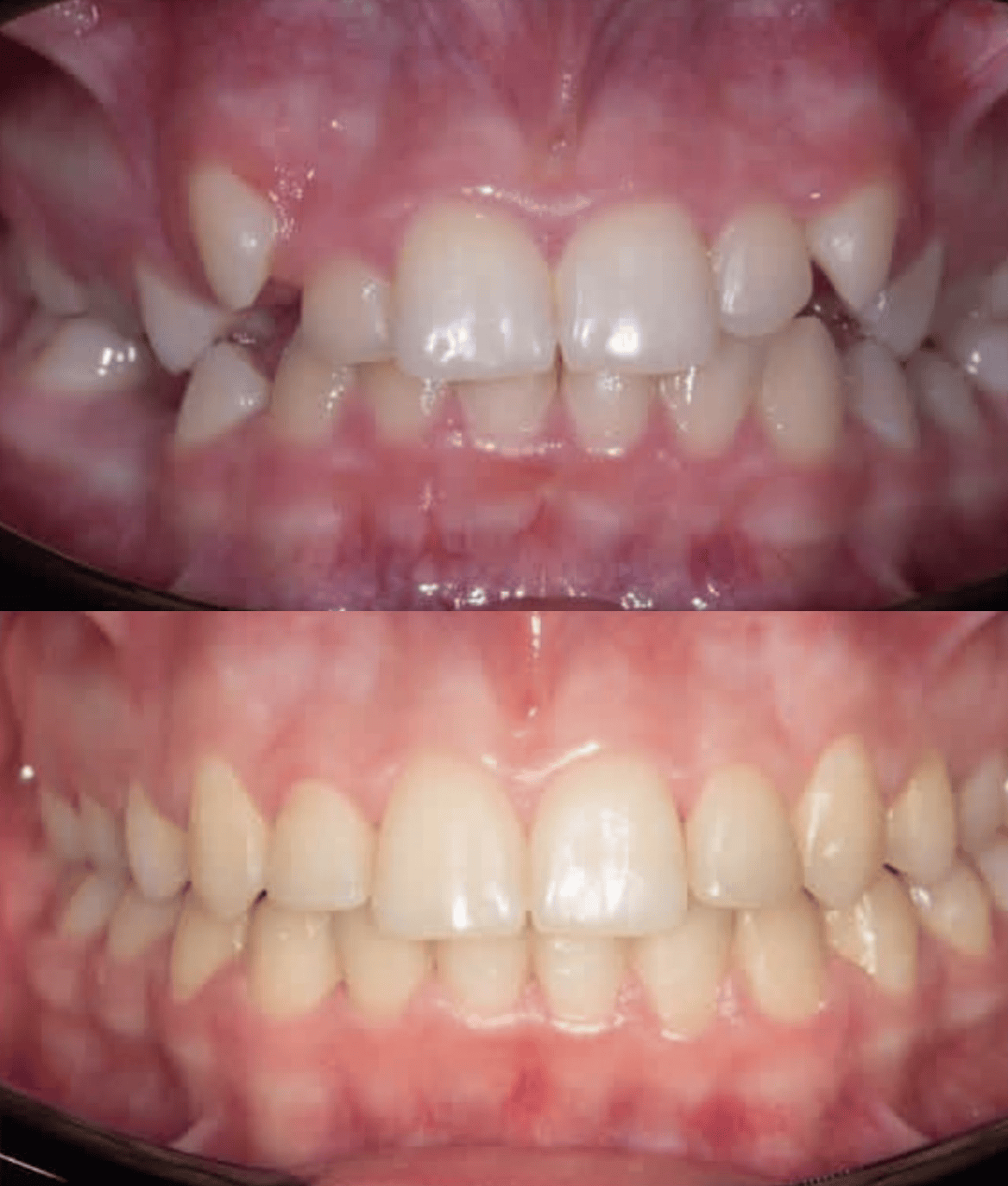
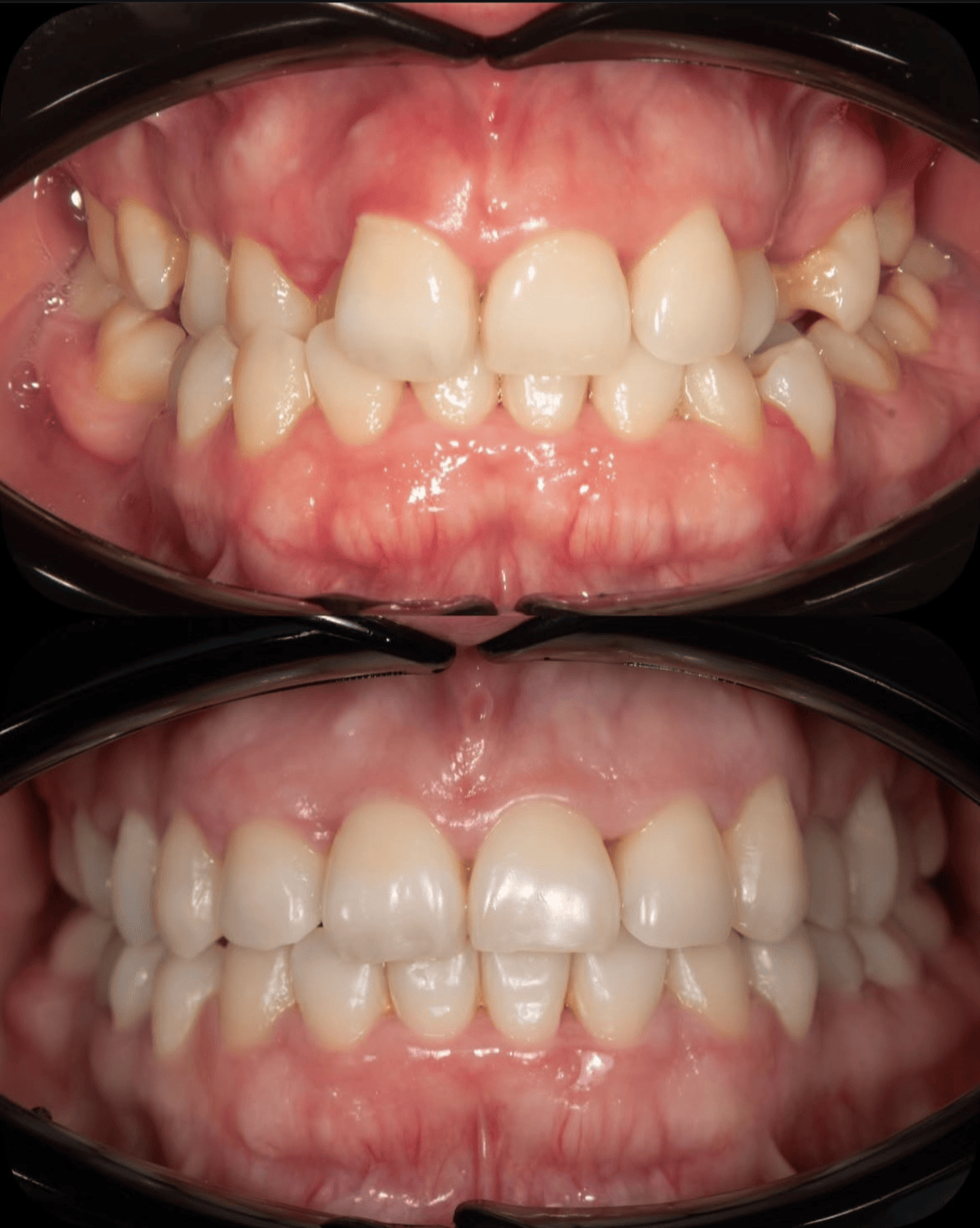
Портфолио доктора
Дипломы и сертификаты