Артур Зограбович Сафарян
Стоматолог-ортопед / Хирург / Имплантолог
Знакомство с доктором
Стаж с 2012 года.
Использует самые современные технологии и методы лечения. Особое внимание доктор уделяет имплантации зубов и протезированию. Его подход сочетает в себе высочайший профессионализм, деликатность и заботу о пациенте.
Доктор уверен, что каждый клинический случай уникален, поэтому он всегда тщательно анализирует состояние пациента, проводит тщательную диагностику с помощью компьютерного томографа и интраорального сканера, а уже затем разрабатывает индивидуальный план лечения. Артур Зограбович ориентируется на долговечность и эстетику результата, чтобы каждый пациент мог наслаждаться не только красивыми, но и здоровыми зубами.
Использует самые современные технологии и методы лечения. Особое внимание доктор уделяет имплантации зубов и протезированию. Его подход сочетает в себе высочайший профессионализм, деликатность и заботу о пациенте.
Доктор уверен, что каждый клинический случай уникален, поэтому он всегда тщательно анализирует состояние пациента, проводит тщательную диагностику с помощью компьютерного томографа и интраорального сканера, а уже затем разрабатывает индивидуальный план лечения. Артур Зограбович ориентируется на долговечность и эстетику результата, чтобы каждый пациент мог наслаждаться не только красивыми, но и здоровыми зубами.
«Каждый клинический случай уникален, поэтому я нахожу самый лучший вариант лечения»
Эта фраза отражает философию работы Артура Зограбовича, который стремится к идеальному результату в каждом конкретном случае.
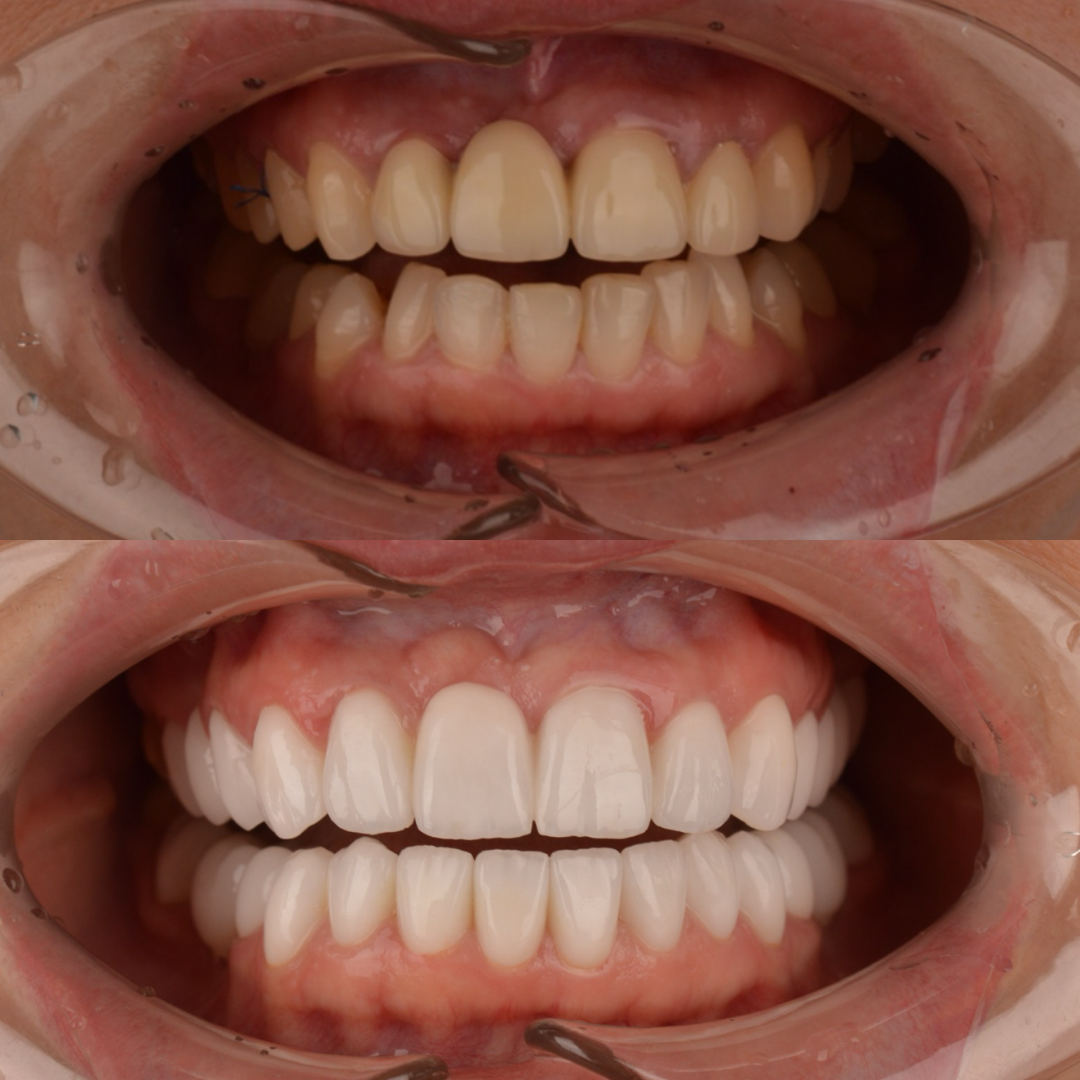
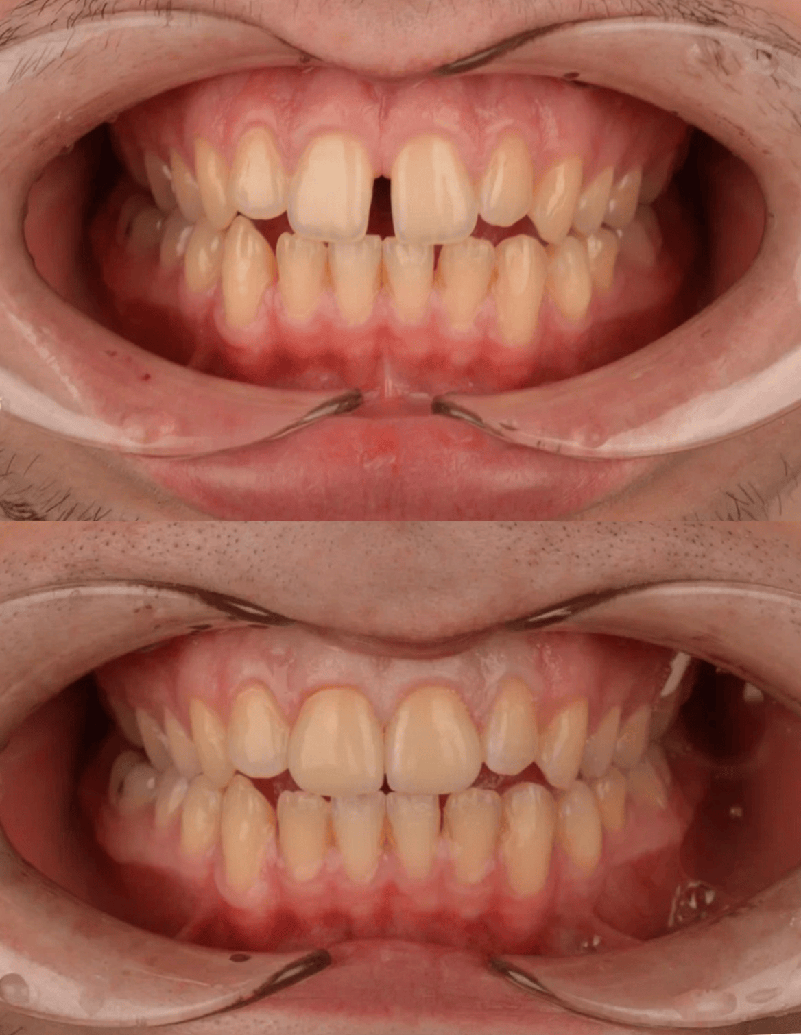
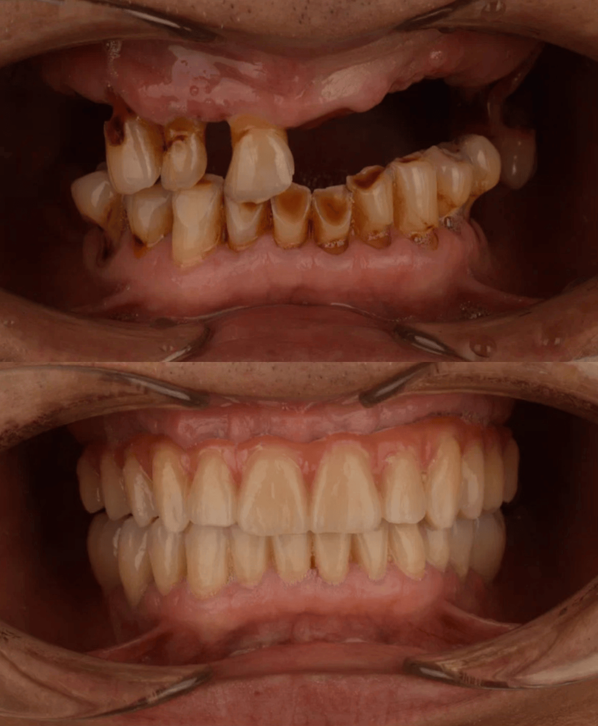
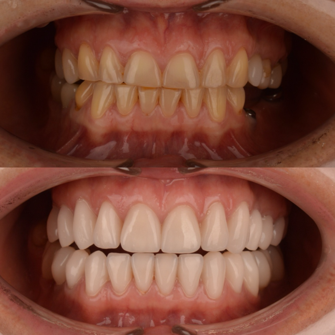
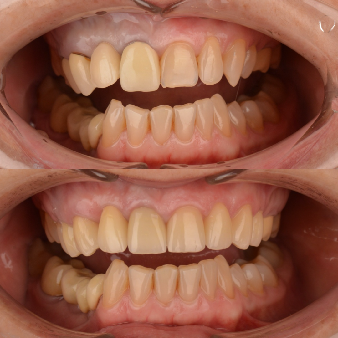
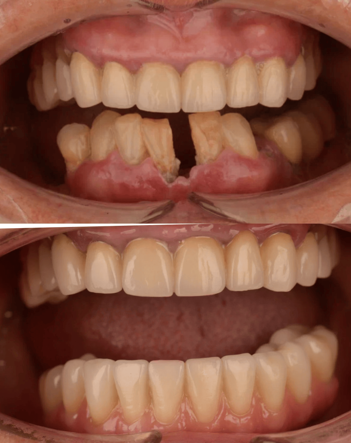
Портфолио доктора
Дипломы и сертификаты