Иван Александрович Киселёв
Стоматолог-хирург / Имплантолог
Знакомство с доктором
Стаж с 2018 года.
Доктор, для которого ключевым элементом лечения является точность и продуманность каждого этапа. Его профессиональная практика сосредоточена на имплантации зубов, хирургической стоматологии и ортопедических решениях, ориентированных на стабильный и эстетически выверенный результат.
Иван Александрович придерживается взвешенного подхода: внимательное изучение клинической картины, объективная диагностика и чёткое планирование позволяют выстроить лечение без лишних рисков и неопределённости. Работает спокойно и последовательно, создавая для пациента ощущение уверенности и контроля на протяжении всего процесса.
Доктор, для которого ключевым элементом лечения является точность и продуманность каждого этапа. Его профессиональная практика сосредоточена на имплантации зубов, хирургической стоматологии и ортопедических решениях, ориентированных на стабильный и эстетически выверенный результат.
Иван Александрович придерживается взвешенного подхода: внимательное изучение клинической картины, объективная диагностика и чёткое планирование позволяют выстроить лечение без лишних рисков и неопределённости. Работает спокойно и последовательно, создавая для пациента ощущение уверенности и контроля на протяжении всего процесса.
«С вниманием отношусь к каждому пациенту и спокойно веду к результату»
Эта фраза отражает профессиональную философию Ивана Александровича - уверенный, взвешенный подход и высокие стандарты качества на каждом этапе лечения.
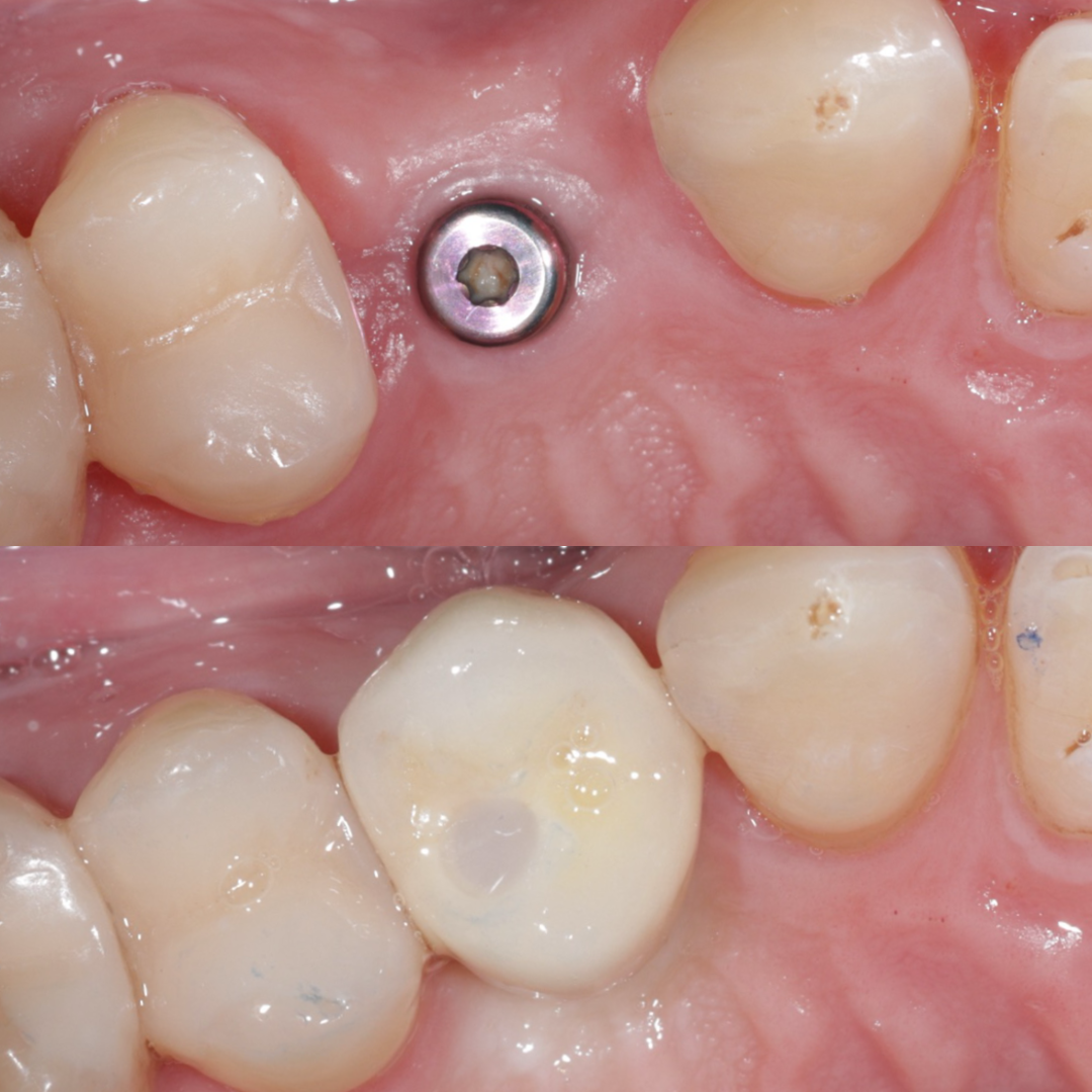
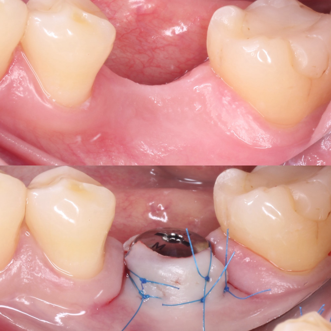
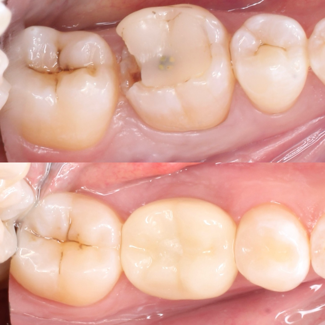
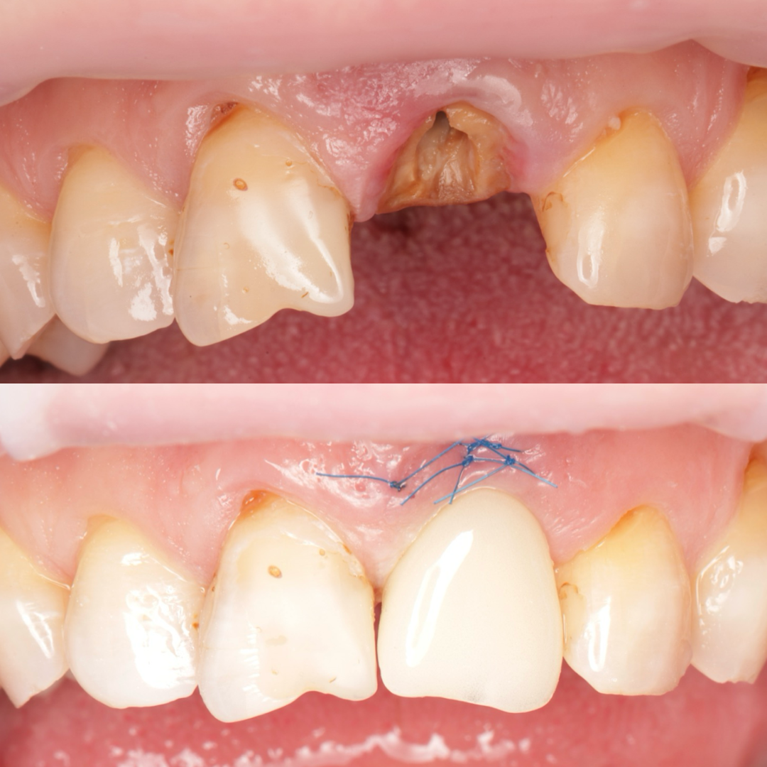
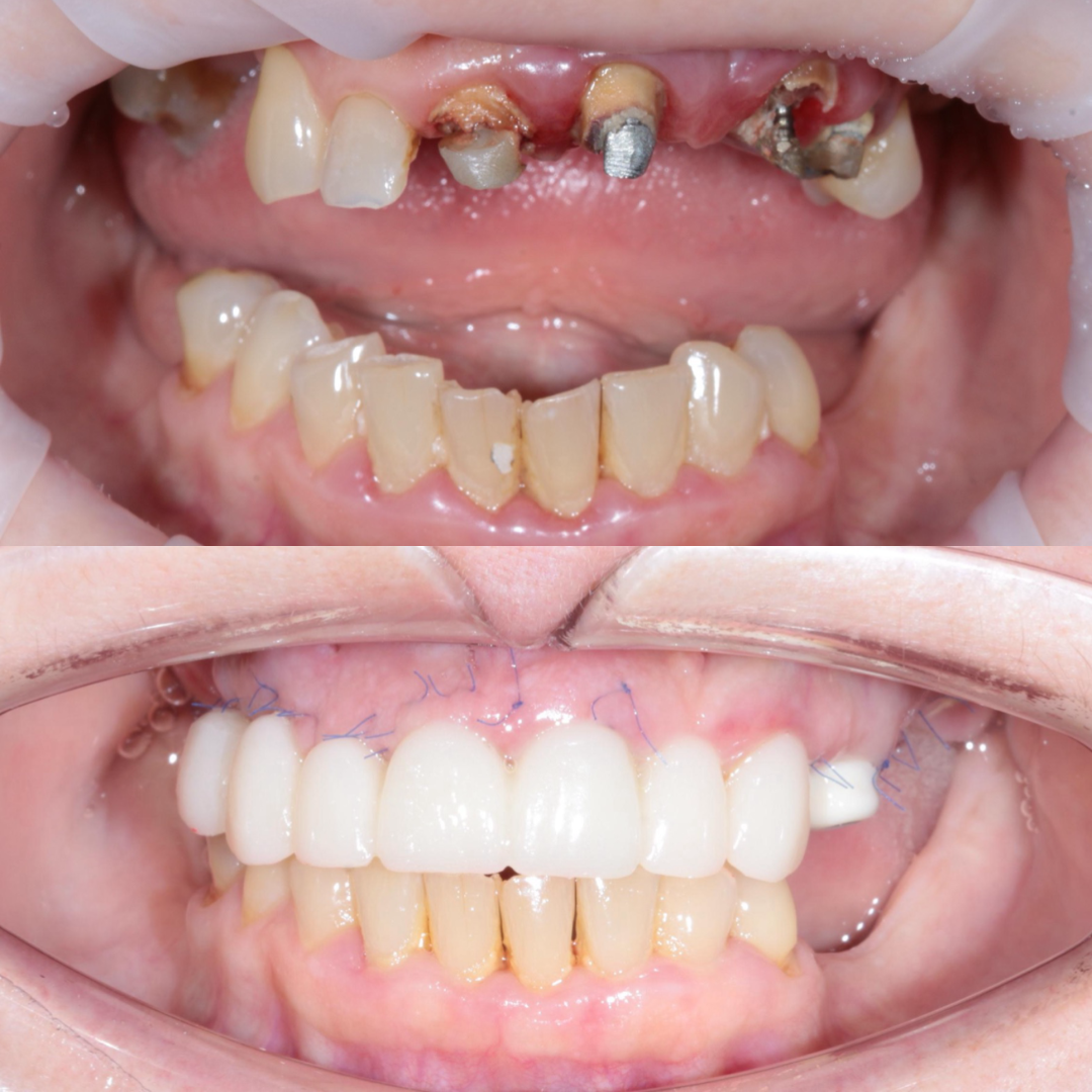
Портфолио доктора
Дипломы и сертификаты