Лия Зограбовна Сафарян
Стоматолог-ортодонт
Знакомство с доктором
Стаж с 2018 года.
Специализируюется на исправлении прикуса и создании гармоничных улыбок. Она уверена, что каждый пациент заслуживает индивидуального подхода и максимального внимания на всех этапах лечения.
Доктор придерживается принципа, что успешное лечение - это результат совместных усилий. Она активно вовлекает своих пациентов в процесс, так как считает, что их участие - важная часть достижения наилучшего результата. Лия Зограбовна тщательно подбирает оптимальные методы и подходы для каждого случая, чтобы обеспечить не только эстетический, но и функциональный результат.
Специализируюется на исправлении прикуса и создании гармоничных улыбок. Она уверена, что каждый пациент заслуживает индивидуального подхода и максимального внимания на всех этапах лечения.
Доктор придерживается принципа, что успешное лечение - это результат совместных усилий. Она активно вовлекает своих пациентов в процесс, так как считает, что их участие - важная часть достижения наилучшего результата. Лия Зограбовна тщательно подбирает оптимальные методы и подходы для каждого случая, чтобы обеспечить не только эстетический, но и функциональный результат.
«Ваше участие в процессе - важная часть нашей победы. Вместе мы создаём идеальную улыбку»
Этот принцип помогает доктору создавать не только красивые, но и здоровые улыбки, которые будут радовать пациентов многие годы.
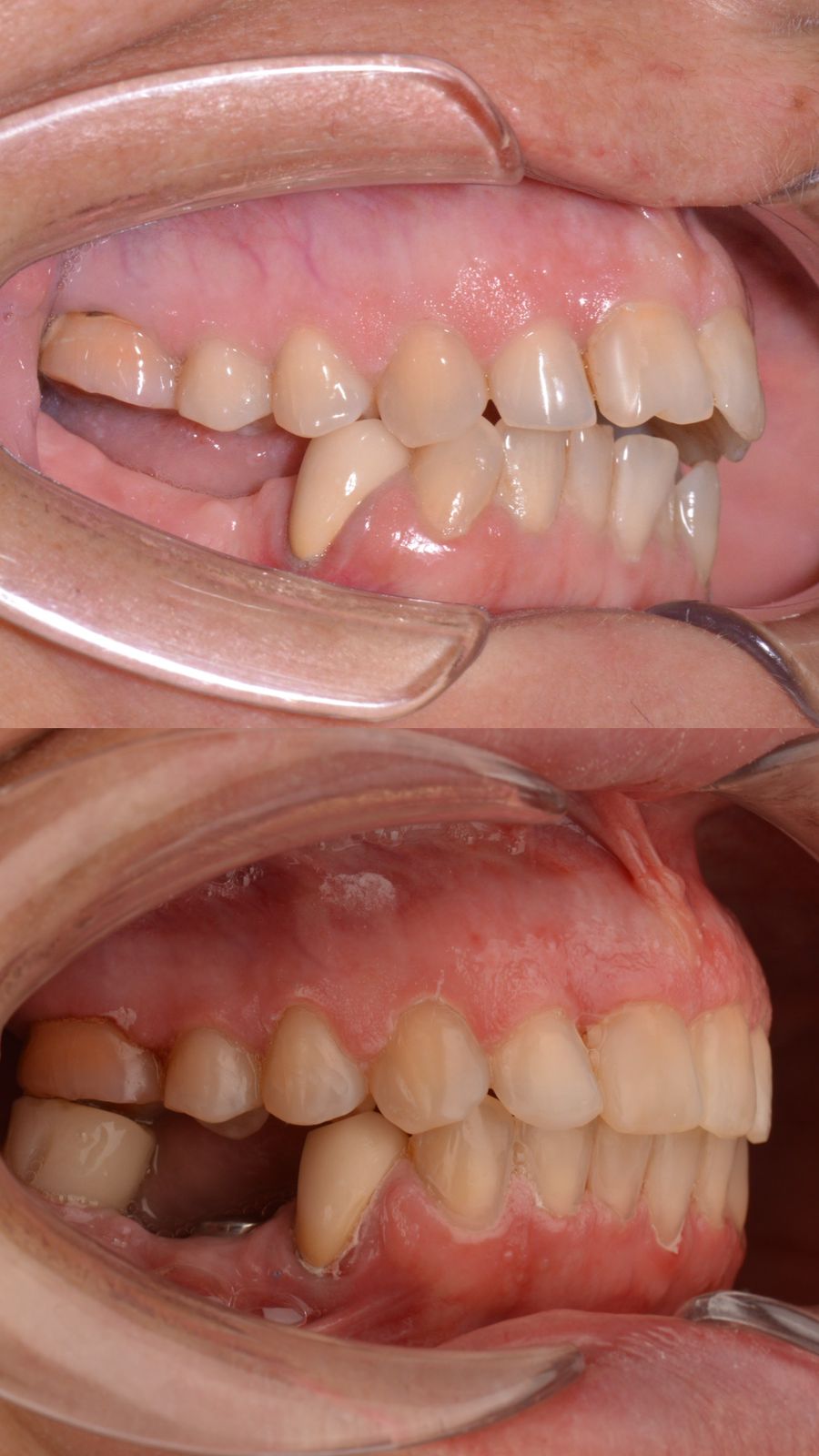
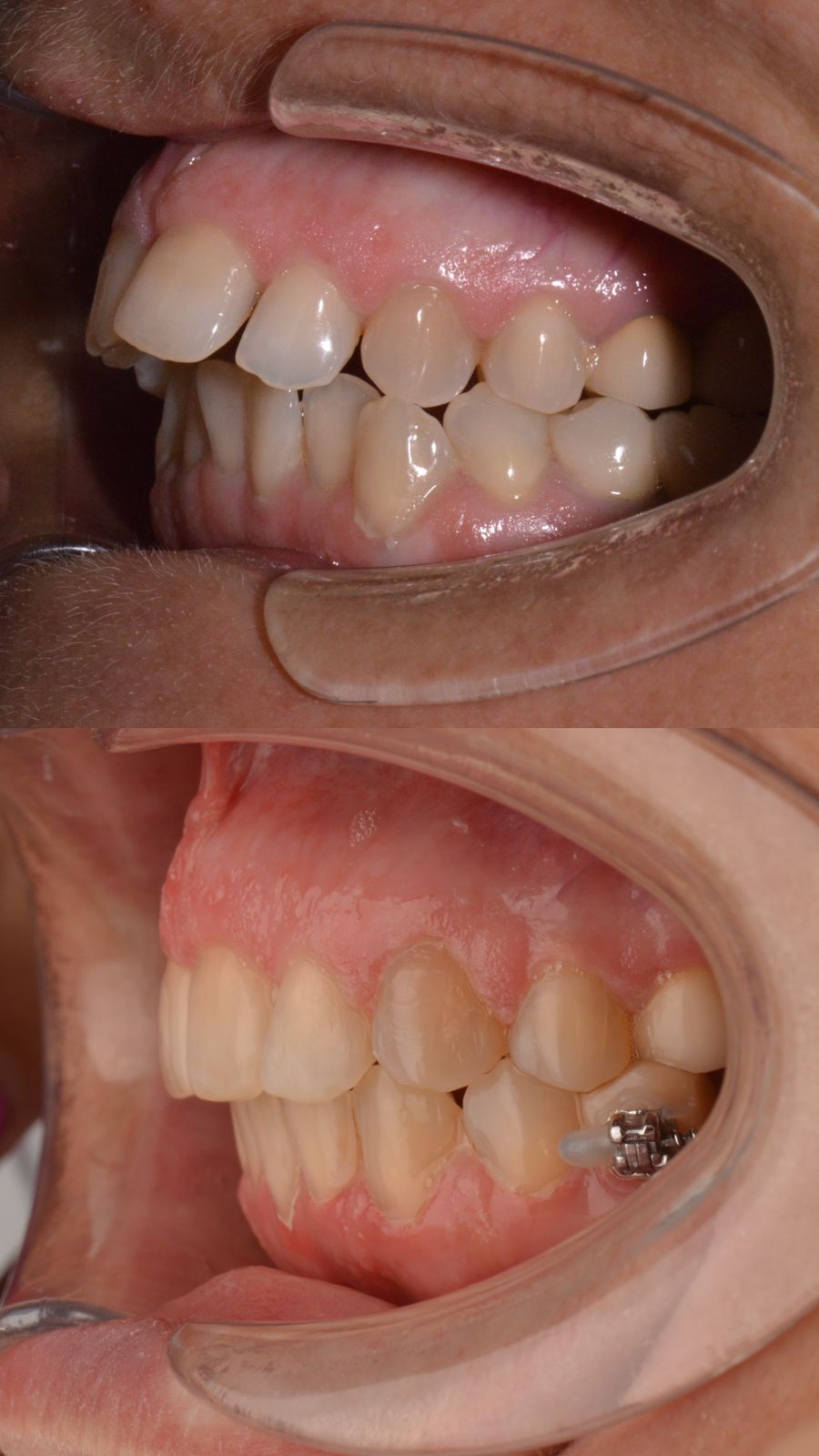
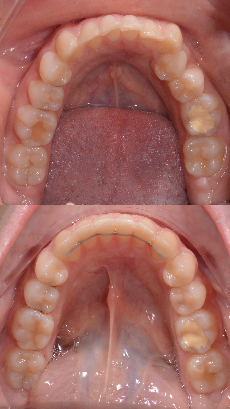
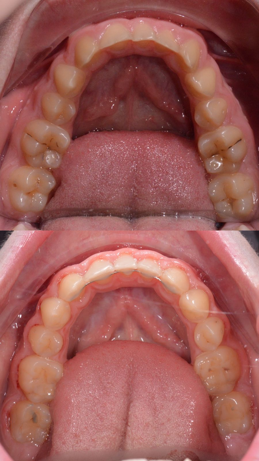
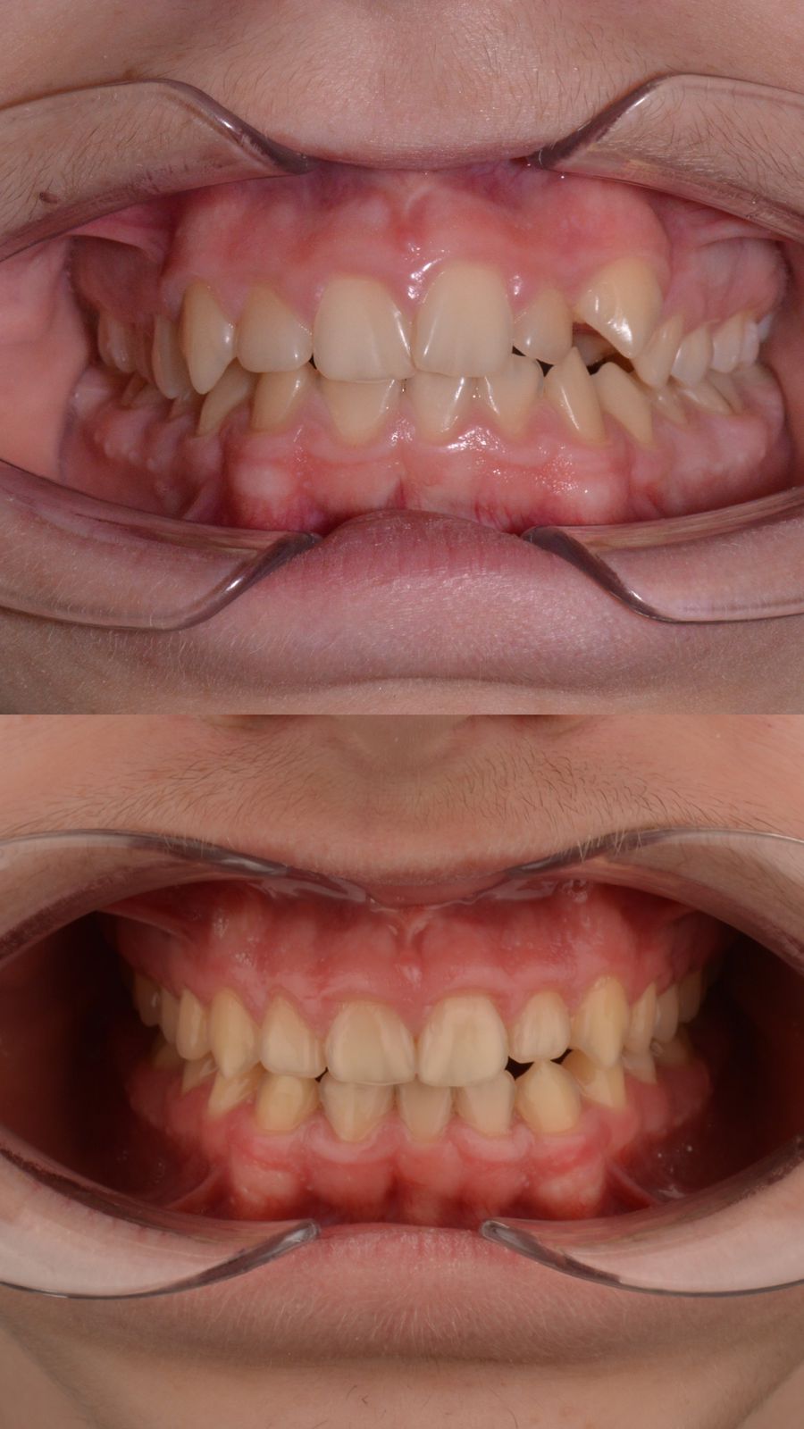
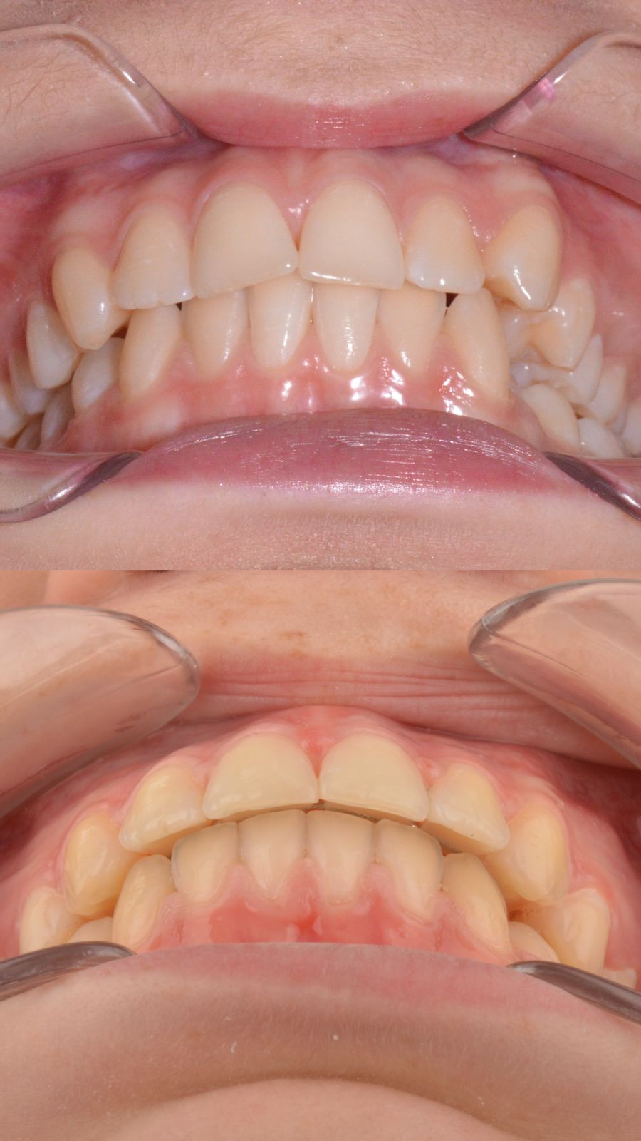
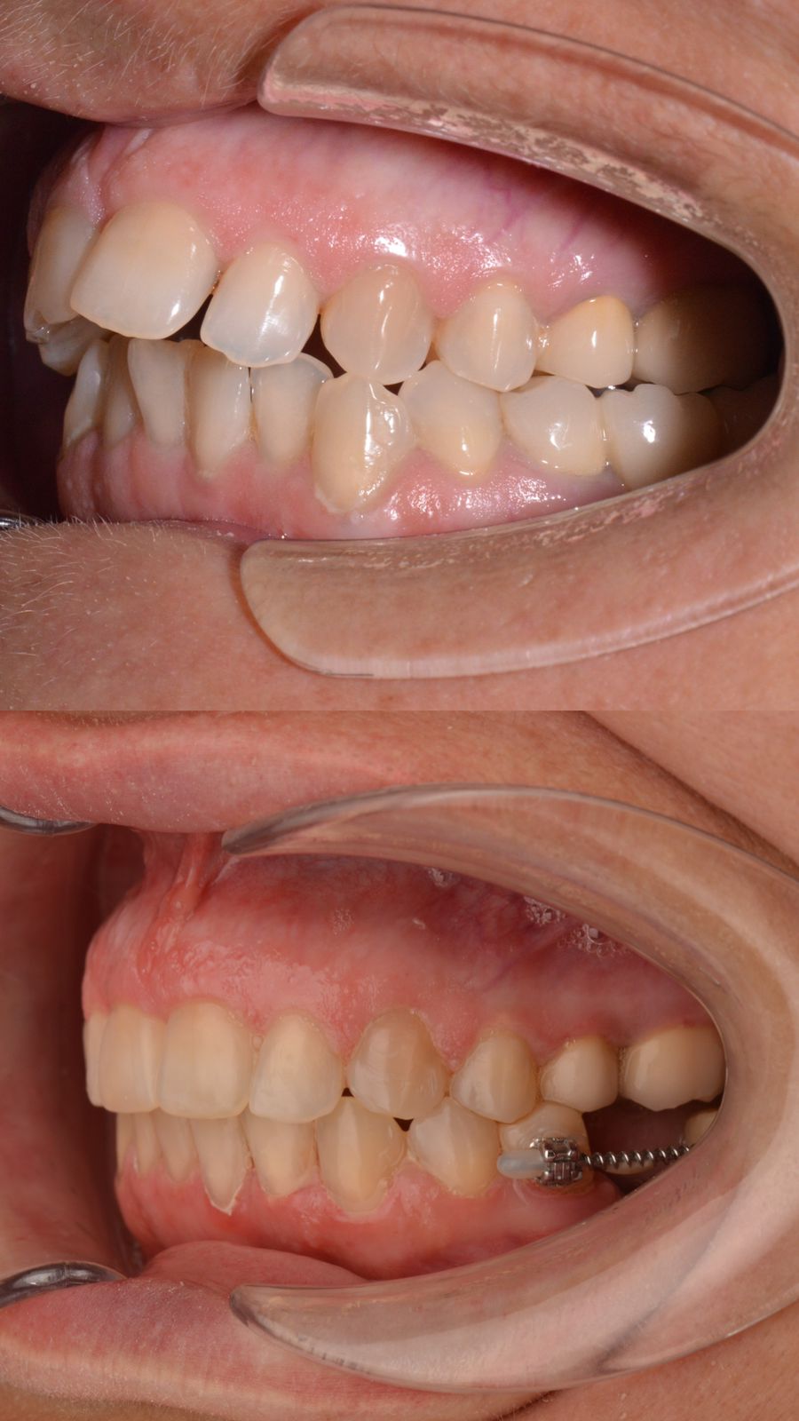
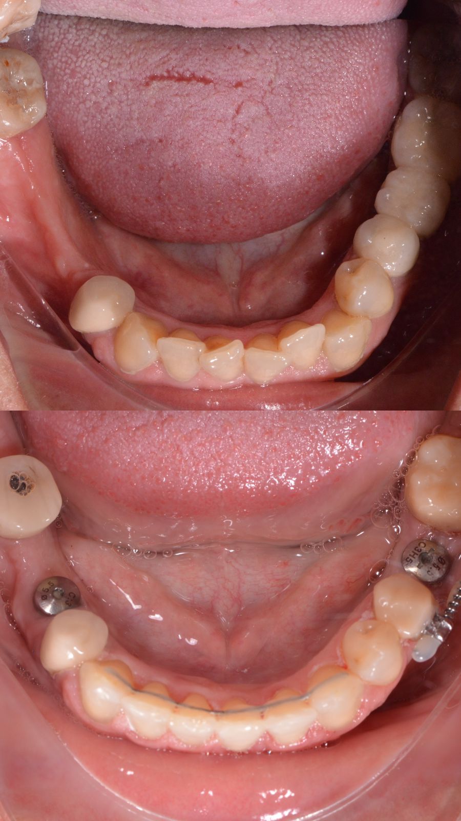
Портфолио доктора
Дипломы и сертификаты