Любовь Сергеевна Пустовая
Стоматолог-терапевт / Главный врач
Знакомство с доктором
Стаж с 2012 года.
Стоматолог с многолетним опытом работы и большой страстью к своему делу, Любовь Сергеевна Пустовая - профессионал, который всегда ставит интересы пациента на первое место. Как главный врач, она задаёт тон и рабочий ритм особым вниманием к каждому пациенту и каждому этапу лечения.
Её философия заключается в точности и внимании к деталям, ведь она уверена, что идеальное состояние зубов начинается с качественной диагностики и тщательной работы. Для неё важно, чтобы пациент не только получил высококачественное лечение, но и почувствовал заботу и внимание на протяжении всего процесса.
Стоматолог с многолетним опытом работы и большой страстью к своему делу, Любовь Сергеевна Пустовая - профессионал, который всегда ставит интересы пациента на первое место. Как главный врач, она задаёт тон и рабочий ритм особым вниманием к каждому пациенту и каждому этапу лечения.
Её философия заключается в точности и внимании к деталям, ведь она уверена, что идеальное состояние зубов начинается с качественной диагностики и тщательной работы. Для неё важно, чтобы пациент не только получил высококачественное лечение, но и почувствовал заботу и внимание на протяжении всего процесса.
«Я обращаю внимание на каждую деталь, чтобы ваши зубы были в идеальном состоянии»
Это не просто слова, а философия работы Любови Сергеевны, которая помогает многим пациентам обрести здоровую и красивую улыбку.
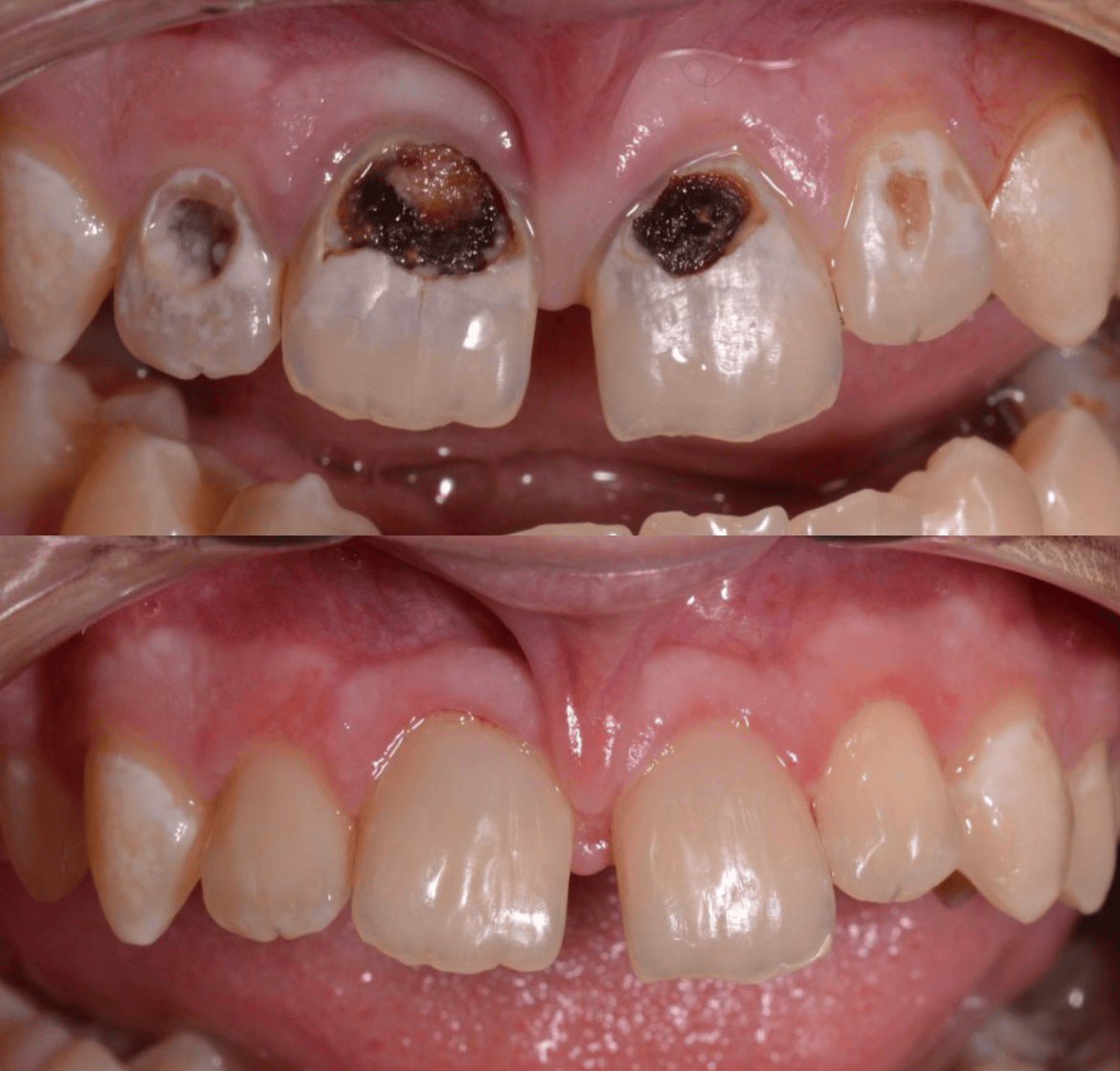
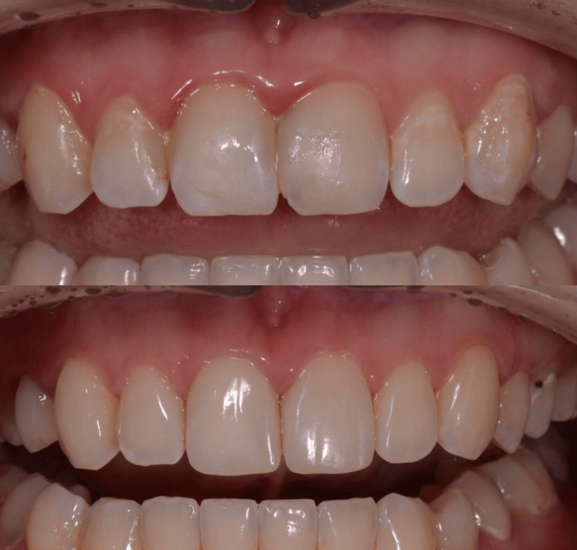
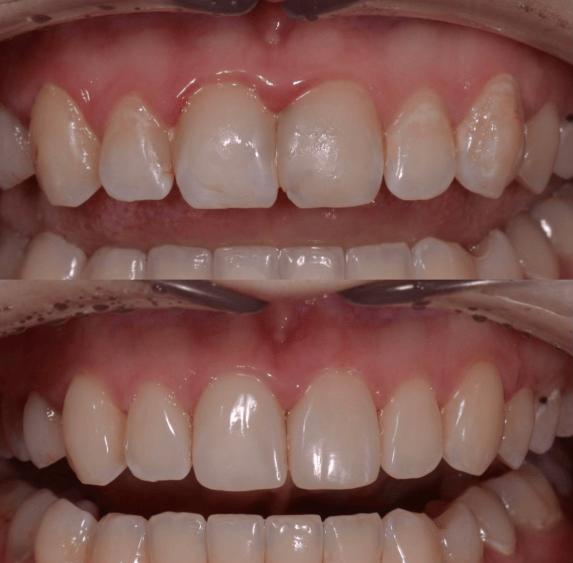
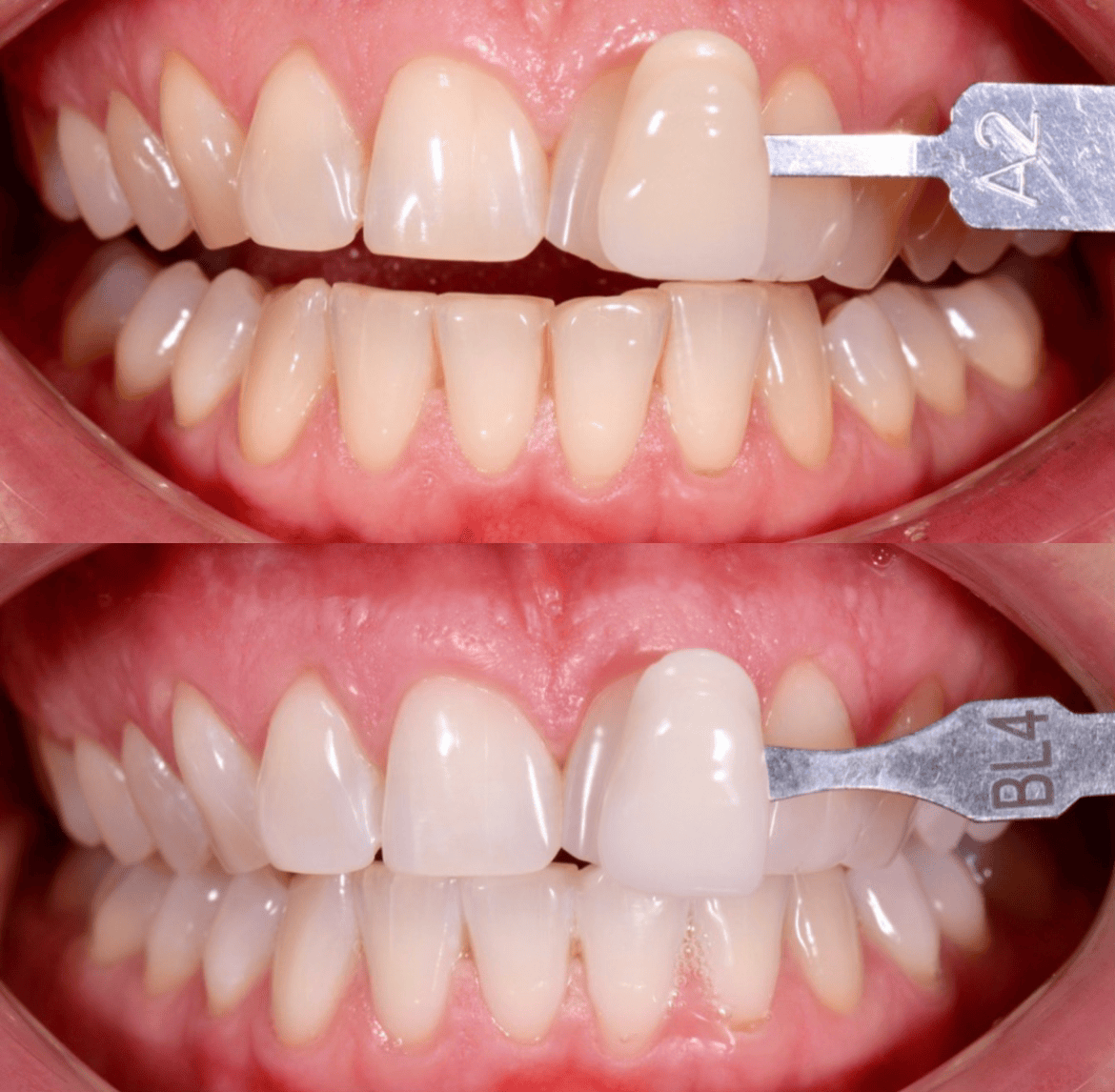
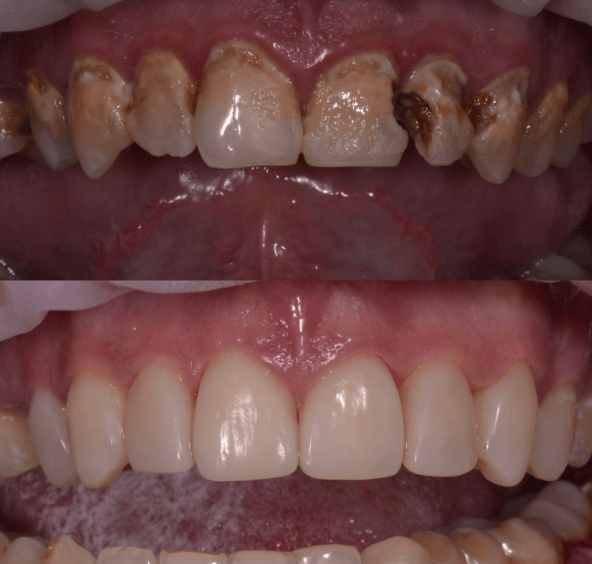
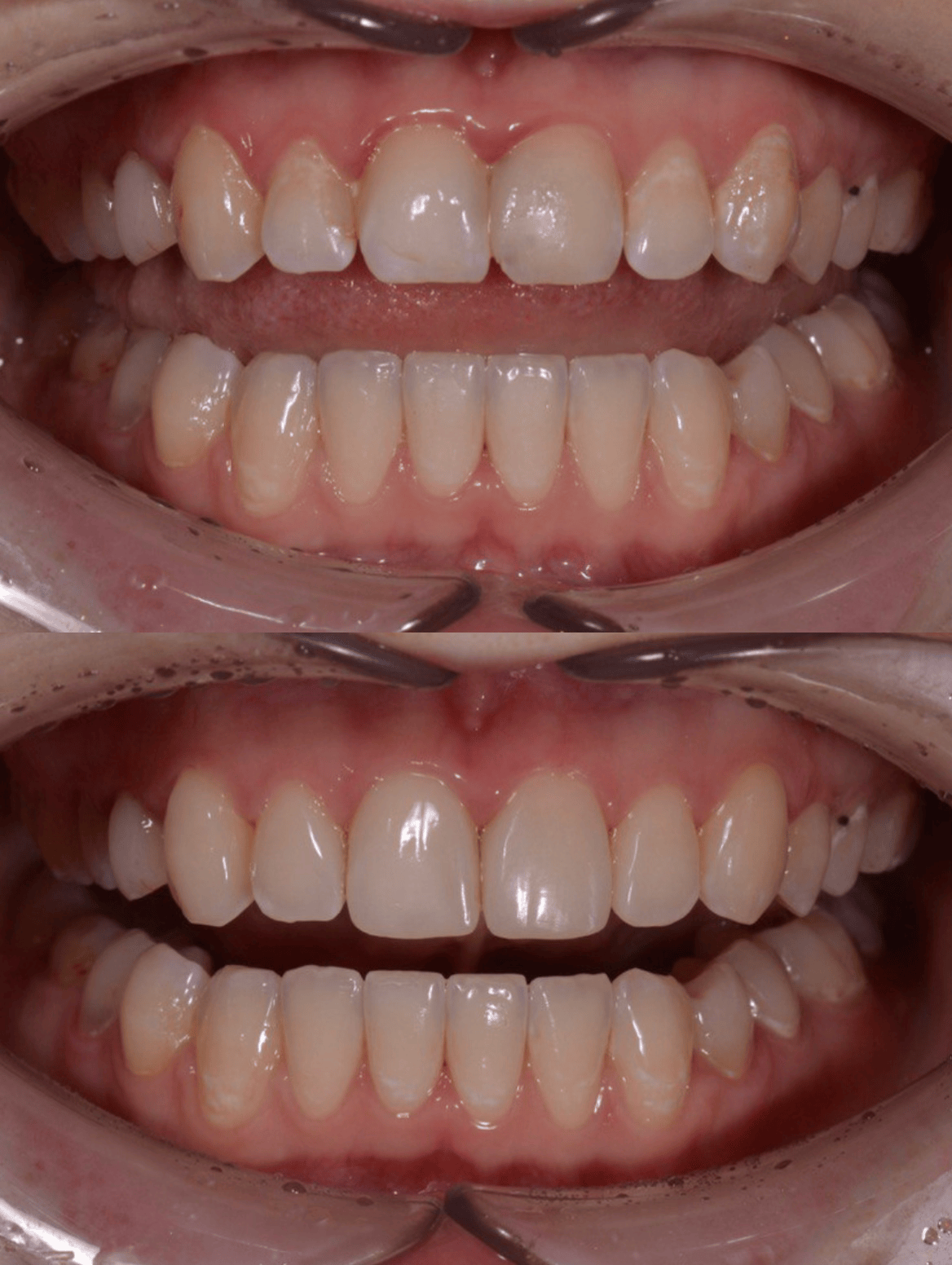
Портфолио доктора
Дипломы и сертификаты