1. Подготовка. Специальной подготовки не потребуется. Нужно только снять металлические украшения и аксессуары с головы и шеи (очки, серьги, пирсинг, съёмные зубные протезы).
2. Инструктаж. Рентген-лаборант проконсультирует и ответит на ваши вопросы.
3. Позиционирование. Вы встанете в центре аппарата. Специалист поможет надеть защитный фартук, скорректирует высоту аппарата под ваш рост. Вы возьмётесь руками за ручки на томографе, после чего вам зафиксируют голову, чтобы исключить любые движения.
4. Сканирование. Аппарат плавно и почти бесшумно совершит один оборот вокруг головы. Вам нужно будет лишь сохранять неподвижность - ровно как при обычном фото.
5. Готово! Через 5-10 минут после процедуры ваш снимок уже готов.
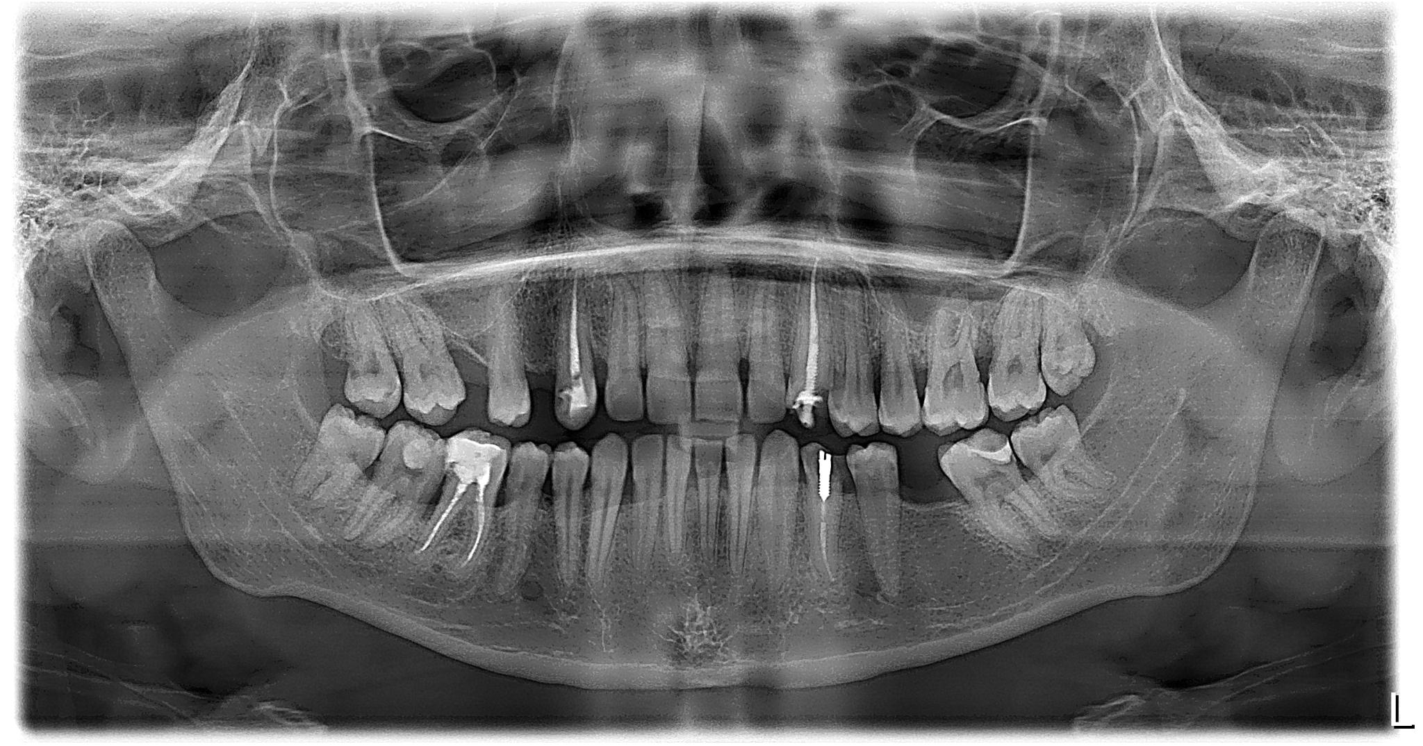
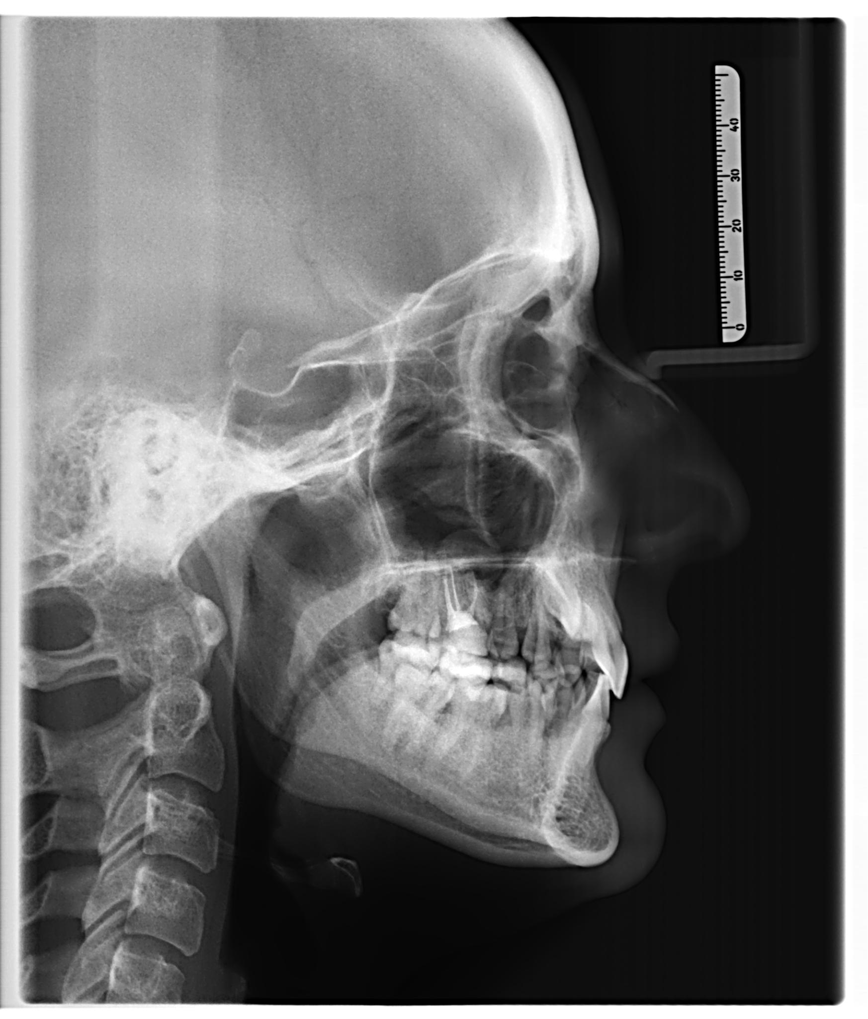
Что вы получаете в итоге? Не просто диск, распечатку или отправку на электронную почту. Вы получаете стопроцентную уверенность. Уверенность в том, что план лечения имплантации составлен идеально, что все каналы будут пройдены до конца, а «зуб мудрости» удалят аккуратно, не задев важные нервы.